Smiles


Veneers & Whitening


Invisalign, Whitening, & Bonding


Invisalign Treatment


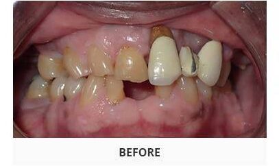
Full Mouth Restoration


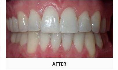
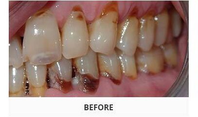
Periodontal Treatment


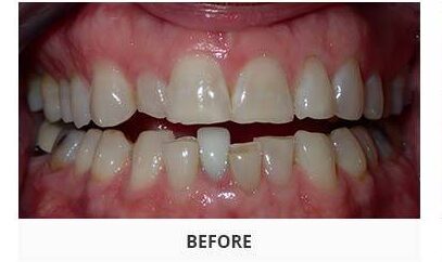
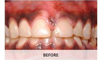
Veneers & Whitening


Dental Veneers


Teeth Whitening


Crowns & Composite Fillings


Invisalign, Whitening & Bonding


Composite Fillings


Invisalign & Whitening


Dental Veneers


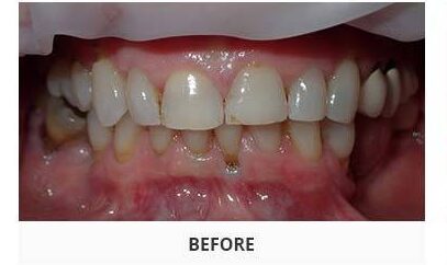
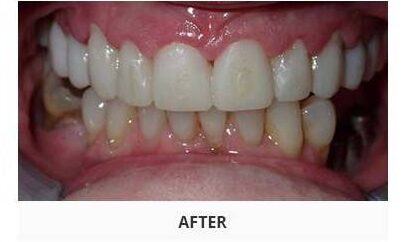
Full Mouth Restoration


Full Mouth Restoration


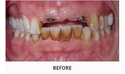
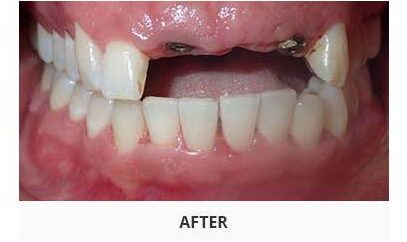
Dental Implants

